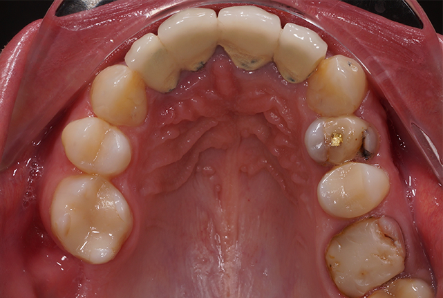
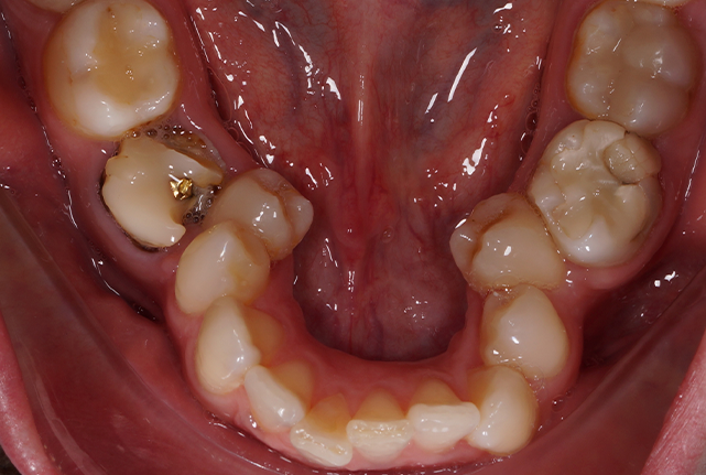
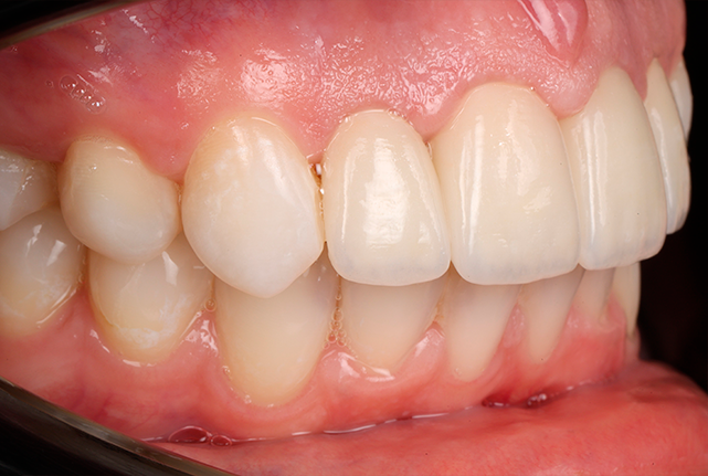
Восстановление зубного ряда: комплексный подход к лечению
Наша пациентка обратилась с двумя основными пожеланиями: исправление неправильного прикуса и улучшение эстетики своей улыбки. Для достижения наилучших результатов мы провели полноценную диагностику, чтобы определить оптимальный план лечения, учитывая индивидуальные особенности её здоровья.

